
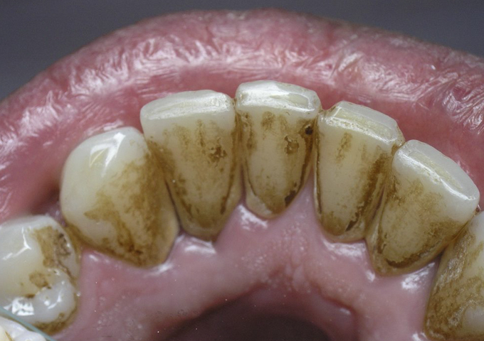
Для предотвращения образования зубного камня необходимо регулярно проводить профилактику его образования натуральными способами. Если зубной камень уже образовался, то предлагаем вам 10 простых способов легко удалить его без посещения стоматолога.
Неправильная чистка может привести к образованию зубного налета и тогда начинает образовываться зубной камень, затвердевший налет. Зубной камень может привести к разрушению зубов и заболеваниям десен. Поэтому его необходимо удалять, чтобы предотвратить другие серьёзные заболевания полости рта.
Мы представляем вам несколько домашних средств для удаления зубного камня и предотвращая его дальнейшего образования :
Это домашнее средство поможет вам удалить зубной камень без каких-либо дополнительных затрат.
Вам понадобятся:
пищевая сода
поваренная соль
вода
перекись водорода
антисептик для полоскания рта
чашка
зубная нить
зубная щетка
Перекись водорода очень часто используется в стоматологии для отбеливания зубов, чтобы избавиться от налета и помочь в лечении гингивита и пародонтита. Чистка зубов с применением соды очень эффективна при удалении зубного налета.
Прежде всего, вы должны смешать одну столовую ложку пищевой соды с ½ чайной ложки соли в чашку. Смочите зубную щетку теплой водой, опустите ее в смесь. Почистите смесь зубы и оставьте на 5 минут, после сполосните зубы тёплой водой.
Затем смешать полную 1 столовую ложку перекиси водорода с 2 столовыми ложками теплой воды и полощите рот в течение одной минуты, затем прополоскать рот холодной водой.
После этого для лучшего удаления зубного камня используйте зубную нить.
Будьте осторожны, чтобы не царапать десны, так как это может вызвать раздражение и повредить их.
Наконец, прополоскать рот антисептическим рот. Повторять процедуру каждый второй день.



